
CosmicTaco
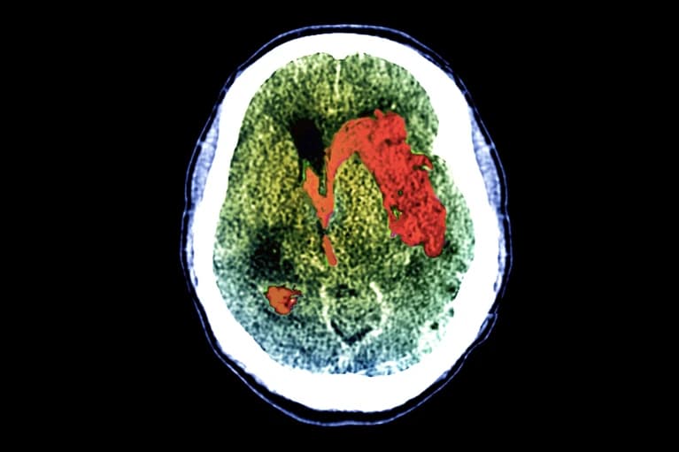
18moStudy Reveals 25% of Unresponsive Brain-Injured Patients Are Conscious
- Groundbreaking international study shows 1 in 4 'unresponsive' brain injury patients are actually conscious
- Research involved 353 participants across 6 medical facilities in 4 countries
- Brain scans revealed mental responses to commands in physically unresponsive patients
- Findings could impact treatment decisions and use of brain-computer interfaces
- Study likely underestimates true number of conscious patients due to high testing standards
Source: Nature

18mo ago

You're early. There are no comments yet.
Be the first to comment.
Discover more
Curated from across